AI Makes CT Scans Safer and More Informative
Machine learning (AI) has the potential to vastly advance medical imaging, particularly computerized tomography (CT) scanning, by reducing radiation exposure and improving image quality. It should also lower costs as radiologists will either not be needed or will be used much less.
According to the research done at Rensselaer Polytechnic Institute, harnessing the power of AI will improve low-dose CT scans and make them safer. Low-dose CT imaging techniques have been a significant focus over the past several years in an effort to alleviate concerns about patient exposure to X-ray radiation associated with widely used CT scans. However, decreasing radiation can decrease image quality.
To solve that, engineers worldwide have designed iterative reconstruction techniques to help sift through and remove interferences from CT images. The problem, according to the research, is that those algorithms sometimes remove useful information or falsely alter the image.
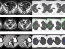
The team addressed this persistent challenge by using a machine learning framework. Specifically, they developed a dedicated deep neural network and compared their best results to the best of what three major commercial CT scanners could produce with iterative reconstruction techniques.
The researchers were looking to determine how the performance of their deep-learning approach compared to the selected representative iterative algorithms currently being used clinically.
Several radiologists from Massachusetts General Hospital and Harvard Medical School assessed all of the CT images. The deep-learning algorithms developed by the Rensselaer team performed as well as, or better than, those current iterative techniques in an overwhelming majority of cases.
Researchers found that their deep-learning method is also much quicker, and allows the radiologists to fine-tune the images according to clinical requirements.
These positive results were realized without access to the original, or raw, data from all the CT scanners. The team reasoned that if original CT data is made available, a more specialized deep-learning algorithm should perform even better. Still, the results confirmed that deep learning could help produce safer, more accurate CT images while also running more rapidly than iterative algorithms. The team also believes their results prove that machine learning methods are potentially better than the traditional methods.


